18 czerwca 2019
Rzadkie choroby układu oddechowego – jak je wykryć? Specjalne szkolenie przeprowadzili pulmonolodzy z całego kraju
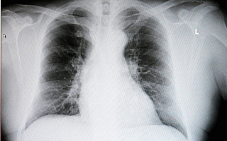
Lekarze pierwszego kontaktu z całego województwa szkolili się w wykrywaniu rzadkich chorób układu oddechowego. Konferencję…
















![Wielkie bicie Gitarowego Rekordu Świata w Olsztynie [ZDJĘCIA] Wielkie bicie Gitarowego Rekordu Świata w Olsztynie [ZDJĘCIA]](https://radioolsztyn.pl/wp-content/themes/ronew/loadimg.php?src=https%3A%2F%2Fradioolsztyn.pl%2Fwp-content%2Fuploads%2F2026%2F05%2FGitarowy-rekord-swiata-10.jpg&q=95&w=30&h=30&zc=1&s=1&f=4,-6|3,3)













